내가 사랑의교회에서 신학생이 되면, 교회에서 나가야 한다는 것을 안것은 얼마전이다. 담당목사하고 잠깐 이야기했는데 일종의 교회 방침인가 본데 별 희안한 규정다본다. 지금은 한국방송통신대학교 인문학부인 영어영문학과(English Literature) 3학년 1학기인데 내 아내는 1년후에 교회를 옮기는 최종 결정을 하자고 한다. 내 학문적인 자질을 확실히 하고 새로 옮기는 교회가 집앞에 있는데 담임목사하고 친하다. 쥬빌리 통일 구국 기도회는 불참하고 토요비젼새벽예배에도 불참한다. 그 시간에 공부를 해야지 미래가 있지 정력 낭비 할일은 없지 않은가?
Sunday Christian
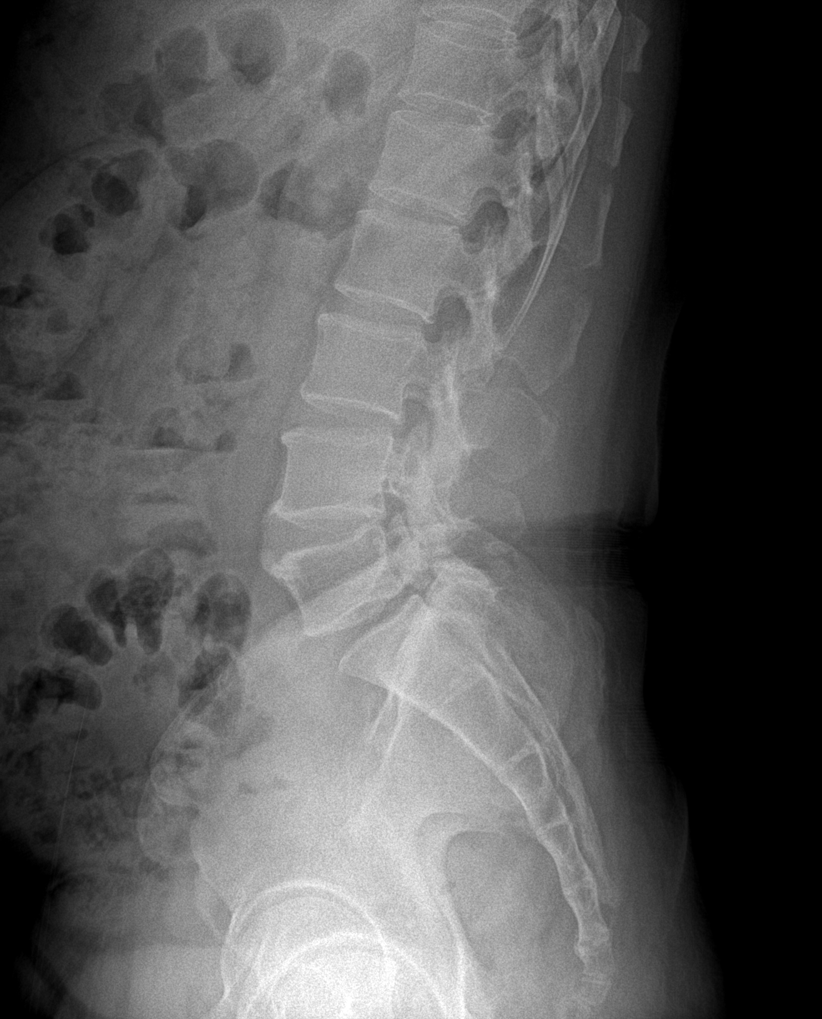
사랑의교회 제적이 10만명으로 추산하니까 그중에 정형외과 의사께서 아래 X-Ray 를 보시면 걸어다니기 힘들다는 것을 아실 것이다. 그런데 主께서 고쳐주셔서 나이 50의 고비를 넘겼다. 오늘 쥬빌리 통일 구국 기도회에 가면, 공부를 못하게 되는데 내일 새벽기도회도 문제다.
Isaiah 38:1~22

독서실에서 노트북 스탠드를 하나 잃러버렸는데 가기가 싫어서 늦게까지 집안을 뒤지고 돌아나녔다. 새벽 2시 넘어서 잠이 들어버렸는데 새벽기도회를 놓혀버렸다. 새벽기도회 하려면 목숨걸고 해야한다. 그러면 하나님이 ‘사기충천'(?)을 선물로 주신다. 너무 일어나는 것이 힘든때가 있는데 오늘 신상철 박사님과 핸드폰으로 일어나기 쉬운약이 없는지 여쭈었는데 아무래도 분위기가 회의중이신가 보다(병원장이시기 때문에 자리를 비우셨다) 대통령 각하와 같이 계시냐고 여쭈었다.
신박사님은 일찍자라고 하신다. 지금 당뇨하고 이비인후과 약등을 자세히 아시기때문에 추가로 약을 더하지는 않으시고 모르시는게 없다. 미안한 말이지만 무슨병이 생겨도 우리집안은 경기도립 노인전문 남양주 병원에 입원하면 된다(간호사들이 내면의 아름다움이 끝내준다)
오늘 백석 신학원에 학사상담을 하려고 교학처에 전화를 했다. 이전에 보니까 나는 자퇴를 했는데, 제적이라고 처리가 되어있다. 이전 같으면 난리를 쳤겠지만 ‘인간’ 이 됐나보다. 한국방송통신대학교 학위만 있으면 된다.
마이크로소프트는 독과점(monopoly)입니다
오늘 컴퓨터를 가동하는데(리눅스 휴렛패카드) 우분트는 되는데 파티션문제인 지 페도라 32가 구동되지 않는다. 윈도우즈를 깔까했는데 이상숙 권사님이 생각이 나서 ‘어짜피 지옥갈놈’ 하고 내가 윈도우 10을 깔기로 했다. 그런데 그 순간 파티션 문제가 풀렸다. 나는 그 순간 主께서 빌게이츠를 용서할 마음이 없으시구나 하는 생각이 들었다…
<용서하십시오-그리고 긍휼히 여겨주십시오>-이 상숙; 성공회 대학교 출판부
이상숙 권사님으로부터 공회의 모임에서 개인적으로 하사 받았다. 이전에 ‘비지니스 선교회’ 라는 모임으로부터 왕따를 받은적이 있는데 그게 상처로 남아있다. 지금은 그-어마어마 한 조직력-부서가 장례절차에 대한 것을 맏고 있나본데 여러가지 한다. 아버지께서는 ‘화장터’가 없으면 소용이 없다고 말씀하신다. 어머님 기일이 6월인데 경기여고 동창회 목록을 주셨다. 잘 관리해야겠다.
<보안문서 해제>
내가 신상철 박사님을 성자(聖者)라고 말씀드렸다. 통화를 3번 했는데 나보고 ‘동네병원’ 으로 가라고 말씀하셨다. 환자들이 동네병원으로 가면 대형병원은 아마도 힘을 잃을 것이다. 다음에 박사님과 만날때면 의료사태가 해결되지 않았을까 싶다.
만약 당신이 아프다면 우리에게 전화해라. 그러면 신상철 박사님이 가르쳐주신 ‘비법’ 을 가르쳐 주겠다.
